Die "News" 2012
01.01.2013
Pepper ist endlich erwachsen ! ????

Seit Mitternacht hat Pepper das nötige Alter um mit ihr zu
züchten.
Ihre uneingeschränkte Zuchttauglichkeit erhielt sie ja schon auf der ZTP im
November.

22.12.2012
Missi, ihre Zwerge und die

Drei von den T's suchen noch eine schrecklich nette Familie.

09.12.2012
LaOla hat heute die Bringtreueprüfung bestanden.
![]() |
Sie hat einen,
in mindestens 100 Meter
ausgelegten Fuchs |
|
|
![]() |

24.11.2012
Missi hat ihre Welpen bekommen.

5 propere Welpen "füllen" die Wurfkiste.
Zwischen 03:55 Uhr und 07:08 Uhr kamen 2 Buben und 3 Mädchen auf die Welt.

18.11.2012
Pepper wurde auf der ZTP - der
Zuchttauglichkeitsprüfung des Vereins vorgestellt.
Sie erhielt einen hervorragenden Bericht und ist nun uneingeschränkt
Zuchttauglich.

Den Bericht finden Sie unter Nachwuchs-Pepper.
![]() |
Coachman's Quest hat die ZTP am Samstag mit Erfolg bestritten.
|

11.11.2012
Coachman's Ruby Tuesday hat ein neues zu Hause gefunden.
Zusammen mit Erick einem GS-Rüden wird sie die Gegend um
Würzburg unsicher machen.
Wir wünschen Ihr und ihren neuen Besitzern alles Gute.

28.10.2012
Es geht nicht immer alles gut!
Am Samstag auf der HZP hat Gerhard seinen Mund
am Wasser nicht halten können.
Die Richter glaubten auch nicht, dass ein lautes Apport ein Lob ist.
Und am Sonntag wollte Pepper nach einer super
Suche hinter dem Huhn herfliegen.
Auch dies ist bei einer Leistungsprüfung nicht gewünscht.
Also werden wir das ganze auf nächstes Jahr verschieben.

Die "Ehre" der Coachman's hat dann am Samstag
Quest gerettet.
Er hat als Einzigster der HZP-Gruppe und dass mit sehr guten Noten bestanden.

25.10.2012
Ruby sucht ein neues zu Hause!
![]() |
Coachman's Ruby Tuesday
VDH/DPSZ
GS 11/195,
Ruby ist
ein liebes Mädchen. Sie ist Haus, Kinder und Auto gewöhnt. Leider ist ihr Frauchen erkrankt und kann Ruby nicht mehr den nötigen Auslauf und die nötige Zuwendung geben.
|
Bei Interesse wenden Sie sich bitte an uns. 08034/617

20.10.2012
|
Pepper hat nun auch die Jugendsuche Herbst mit 78 Pkt. bestanden. Wir hoffen, dass es am nächsten Wochenende auch so gut klappt. Dann stehen HZP und HJS an.
|
![]() |

18.10.2012
Wir waren mit Missi beim Ultraschall!
Sie ist, wie man auf Bild sieht, tragend.
Somit erwarten wir Ende November Welpen.


13./14.10.2012
|
Es geht super weiter! LaOla hat die VGP - die Meisterprüfung für
Vorstehhunde mit Bravour bestanden. |


07.10.2012
![]() |
Pepper hat es jetzt schriftlich. Sie ist ein brauchbarer Jagdhund. Sie ist allgemein brauchbar zur Nachsuche auf Niederwild und Schalenwild.
|
|
Die Prüfung erfolgte in den Fächern:
a) Gehorsam |

24./25.09.2012
Missi ist belegt !
|
Willi (Earth Fire from
Fire'sons Garden) und Missi waren sich sehr sympatisch. Nun bleibt uns nur noch abzuwarten! Wir warten gespannt auf die Ultraschalluntersuchung in 3-4 Wochen. |
![]() |

11.09.2012
Missi ist läufig. In ca. 10 Tagen werden wir
zum Belegen fahren.
Somit erwarten wir, wenn alles gut geht, Ende November Welpen.
|
|
| Coachman's Miss Marple | X | Earth Fire from Fire'sons Garden |

05.09.2012
|
.
Jetzt ist es amtlich! Missi ist nun auch Österreichischer Schönheitschampion |
![]() |

04.09.2012
Das HD-Ergebnis von Coachman's Queen Mary und von Coachman's Pearl of Gordon ist da.
Q-Wurf
P-Wurf
| Name | HD | Name | HD | |||
| Quo Vadis Apollo | . | : | Pearl of Gordon | C1 | neu | |
| Quando | A1 | : | Purple Rain | A1 | . | |
| Quaterback | A1 | . | Penelope | A1 | . | |
| Quest | A1 | . | Penny-Lane | A1 | . | |
| Quality Scots Girl | C2 | . | Power Ranger | A2 | . | |
| Queen of Scots | A1 | . | Perfect Hunter | A1 | . | |
| Queen Mary | A2 | neu | Peppermint | A1 | . | |
| Quiet Lovely | A1 | .: | Playmate | A1 | . |

01.09.2012
CAC-Pienzenau
Wieder ein erfolgreicher Tag für die
Coachman's.
Lenni - Coachman's Outlander erhielt in der stark besetzten offenen Klasse ein
V4.
Ois Easy und Peppermint erhielten in ihren Klassen jeweils ein V1 und die Anw.
Dt.Ch.(VDH).
Ihr Ringdebut gab Surya in der Puppy-Klasse - Just for fun!
Schön war, dass doch einige von den Coachman's
zum Daumendrücken kamen.
Lara, Leroy und Scotty haben die Mannschaft komplettiert.

12.08.2012
CACIB - Innsbruck der zweite Tag
Heute stellten wir erneut Pepper und Easy vor. Missi durfte zu Hause bleiben.
![]() |
|||
![]() |
|||
|
Pepper bestätigte ihre Leistung von Gestern und erhielt
wieder ein
V1 und das CACA. |
Der Richter stellte fest, dass Easy hinten lahmte! Dies war der Grund für das heutige SG. |
||

11.08.2012
CACIB - Innsbruck
Wir waren mit Ois Easy, Pepper und Missi in Innsbruck.

Easy erhielt leider nur ein SG 3. Wir möchten uns ganz herzlich bei Stephan Götz
bedanken
der Easy vorgestellt hat. - Sie haben sich verstanden.

Pepper erhielt ein V1 und das CACA

Unser Star war Missi und das bei ihrem ersten öffentlichen Auftritt nach ihrer
schweren Operation.
Sie erhielt ein V1 das CACA und das CACIB.
Damit wurde Sie zur besten Gordon Setter Hündin der Ausstellung.
Gleichzeitig hat Missi die Bedingungen für den
Österreichischen Champion
und den Internationalen Championerfüllt.

Hier die Entscheidung über das CACIB. Stephan
Götz stellte Pepper, Herta Leitner Jenna Beauty of Gordon
die das Res. CACIB erhielt und Helga mit Missi.

Und das war die kleine Feier. Ein CACIB und
zwei Res CACIB, da Herta
mit ihrer Kathy vom Gebirgsjägerhof dies ebenfalls erhielt.

26.07.2012
Das Ergebnis von Quaterback ist heute
gekommen. Wir freuen uns über ein weiters A1 Ergebnis.
Von Scotty hören wir nur das Beste. Sie wird über alles gelobt und hat sich
soweit schon eingelebt.
Die Aufnahmen von Queen Mary sind bei Prof.
Saar eingetroffen.
Nur Quo Vadis Apollo hängt noch hinten nach, obwohl dies beim Welpenverkauf fest
versprochen wurde.
| Name | HD | |
| Quo Vadis Apollo | . | |
| Quando | A1 | |
| Quaterback | A1 | neu |
| Quest | A1 | |
| Quality Scots Girl | C2 | |
| Queen of Scots | A1 | |
| Queen Mary | . | |
| Quiet Lovely | A1 |

23.07.2012
Ein trauriger Tag für die Coachman's.
![]() |
Vermutlich für längere Zeit der letzte gemeinsame Ausflug Pepper und Scotty - im Hintergrund Missi.
|
Heute hat uns Scotty in Richtung Schweiz
verlassen. Nachdem sie als bisher Einzigste
der getesteten Q's eine C2-Hüfte hat (alle Anderen A1), kann sie in Deutschland
nicht zuchttauglich werden.
So mussten wir uns leider, schweren Herzens dazu entschließen sie abzugeben.

Wir wünschen ihr und ihrer neuen Familie alles Gute.

21.07.2012
CACIB in Augsburg
Helga war mit Scotty und Pepper in Begleitung von Alex und Easy unterwegs.

Scotty erhielt ein SG1 da sie noch nicht
fertig sei. - Welch ein Wunder in der Jugendklasse!
Auch für Easy lief es nicht ganz so gut. Sie erhielt ein SG 2 in ihrer Gruppe.

Pepper bewies wieder einmal ihre Klasse. Sie erhielt ein V1, Anw.Dt.Ch.(VDH) und das Res. CAC.
![]() |
Pepper in Aktion! links: NEIN - ich will nicht! rechts: DER hab ich's gezeigt! |
Die Bilder stammen von Bianca Heydegger - www.DOGS-in-MAGIC.de - Herzlichen Dank

15.07.2012
|
Jetzt ist es amtlich ! Coachman's Peppermint ist der erste Deutsche Jugendchampion VDH in der Coachman's Familie. |
![]() |

14.07.2012
Ein neues Highlight für uns - die CAC - Günzburg
Alle gestarteten Coachman's waren Beste in ihren Gruppen.
Max in der Jüngstenklasse hatte leider noch
keine Ringerfahrung - woher auch?
So musste er sich mit einem versprechend begnügen.
Aber bei den Mädels ging es dann los! Alle liefen mit Mitbewerbern.
Als Erste kam Scotty - sie erhielt ein V1, Anw. Dt.JCh.(VDH) und wurde Landesjugendsiegerin Bayern.
Pepper brachte die Starnummer 13 Glück - sie
startete das erste Mal in einer Wettbewerbsklasse - der Zwischenklasse.
Sie erhielt ein V1, Anw. Dt.Ch.(VDH) und das CAC. Damit wurde sie beste Gordon
Setter Hündin der Ausstellung.
Easy erhielt ebenfalls ein V1 und die Anw.
Dt.Ch.(VDH).

Helga startete dann noch mit Scotty, Pepper und Easy in der
Zuchtgruppe.
Sie war leider die Einzigste, aber die Richterin bestätigte ihr eine harmonische
Gruppe.

07.07.2012

Es fand wieder ein "Tag der Engländer" statt.
Regina Luschmann hatte einmal mehr ihre "lange
Wiese" zur Verfügung gestellt.

![]()
|
Danger hatte von ihrem Beobachtungspunkt aus alles im Griff |
Es fanden sich 17 Coachman's Hunde mit
Ihren 24 Begleitern ein. Damit stellten wir
über ein Drittel aller Anwesenden.

Bei unserem Gruppenfoto waren leider nicht mehr alle anwesend.
Es gab zwei große Veranstaltungspunke - einen Bildersuchmarsch und ein Hunderennen.
![]()
Den ersten Platz bei der Bildersuche konnte die Mannschaft
um "Coachman's Nikita" erringen. Sie erreichten zusammen mit noch einer Mannschaft die höchstmögliche Punkte Zahl |
|
![]() |
|
Beim Hunderennen war Paula der schnellste Gordon Setter. Im Gesamtergebnis lag |
Nachdem eine gute Kamera schon einiges hilft,
muss der Bediener sie nur noch richtig einstellen.
Leider hat das bei mir nicht so funktioniert.
Aber zum Glück war Alisa anwesend. Alle folgenden Fotos sind von Ihr. Danke!
![]() |
![]() |
![]() |
![]() |
![]() |
![]() |
![]() |
![]() |
![]() |
![]() |
![]() |
![]() |
So und irgendwann ist auch der schönste Tag zu Ende. Hier der Rest der Meute beim "Ausklingen lassen".

Hamburger, Hessen, Franken, Schwaben, Oberpfälzer, Österreicher und Bayern friedlich vereint.

25.06.2012
Die HD-Ergebnisse vom Q-Wurf sind da.
Leider hat es sich bewahrheitet. Unsere Scotty hat eine C2 Hüfte.
| Name | HD |
| Quo Vadis Apollo | . |
| Quando | A1 |
| Quaterback | . |
| Quest | A1 |
| Quality Scots Girl | C2 |
| Queen of Scots | A1 |
| Queen Mary | . |
| Quiet Lovely | A1 |

25.06.2012
Jetzt ist alles ganz schnell gegangen.
Unsere Summer hat ein neues Zuhause ganz in unserer Nähe gefunden.

24.06.2012
Summer Breeze hat heute ihren ersten großen Ausflug in unser Revier gemacht.
![]() |
Sehr selbstsicher und forsch hat sie alles erkundet. |

22. - 24.06.2012
Nach und nach haben uns nun alle Babys verlassen.
Nun ist nur noch Summer Breeze bei uns. und macht jetzt natürlich unser Haus unsicher.

21.06.2012
Als Erste hat uns heute Siva verlassen. Sie ist zu ihrem Papa gezogen.
Hemingway und seine Tochter Siva

19.06.2012
Heute war der große Tag unseres S-Wurfes. - Wurfabnahme -
Frau Baronin Gisela von Wrangell war mit
unseren Welpen, den großen Hunden
und der Aufzuchtstätte sehr zufrieden.
Alles bestens - keine Beanstandung!

31.05.2012
Das nächste HD-Ergebniss des P-Wurfes ist da.
| Name | HD | |
| Purple Rain | A1 | neu |
| Penelope | A1 | |
| Penny-Lane | A1 | |
| Power Ranger | A2 | |
| Perfect Hunter | A1 | |
| Peppermint | A1 | |
| Playmate | A1 |
Wir hoffen, dass auch die letzten Drei des
Wurfes, wie bei der Welpenabgabe
versprochen, noch zum Röntgen gehen.
Bei den anderen Hundebesitzern bedanken wir uns ganz herzlich.

26.05.2012
Wir waren mit einem Teil des Q-Wurfes beim HD-Röntgen.

Scotty, Quiet Lovely, Queen of Scots, Quando und Quest.

Es schauen alle sehr gut aus, nur leider
unsere Scotty nicht.
Hier müssen wir bangen.

18.05.2012
World Dog Show in Salzburg
![]() |
Pepper und Scotty stellten wir in der stark besetzten Jugendklasse aus. Beide erhielten ein vorzüglich, worauf wir sehr stolz sind. Danke an Herta, die das Vorführen von Pepper übernommen hat. |
![]() |

04.05.2012
Obama hat ein neues zu Hause gefunden.


26.04.2012
Unser S-Wurf ist gefallen.
Lola hat in knapp vier Stunden, 3 Rüden und 5
Mädchen ohne Probleme auf die Welt gebracht.
Gut 2 Stunden später kam noch ein kleiner Bub - leider hat es für ihn zulange
gedauert.

Jetzt beleben 8 neue kleine Coachman's unseren Tagesablauf.

26./27.04.2012
JuS in Hilpoltstein
Am Start waren O'Two, Ois Easy, Scotty und Pepper.
O'Two lief heute wieder besser und bestand die
Prüfung mit 59 Pkt.
Leider mit der Bemerkung "leicht Schussempfindlich".
Scotty (68 Pkt) bestätigte ihre Leistung von vor 14 Tagen.
Pepper ging mit den Fasanen durch! Sie erhielt heute 62 Pkt.
Ois Easy dachte wohl sie ist schon ein Leistungshund und kam beim Schusstest
sofort zu ihrem Führer zurück - bei der Einzelsuche erwünscht - beim Schusstest
leider nicht.
Am Donnerstag den 27.04.2012 bestand sie dann auch die Einzelsuche mit 159 Pkt.

22.04.2012
CACIB Dresden
Und wieder ein Titel für die Coachman's.
Pepper hat heute in der Jugendklasse ein V1,
Anw.Dt.JCh.(VDH) erhalten
und somit die Voraussetzungen für den Deutschen Jugendchampion VDH erfüllt.
Quest hatte sein Ausstellungsdebüt und
überzeugte voll und ganz.
In der Jugendklasse erhielt er ein V1, Anw. Dt.JCh.(VDH) und das Jugend BOB.

21.04.2012
Die Schwester von Pepper - Pearl of Gordon - genannt Paula hat
die
VJP mit 60 Punkten bestanden.
Der Hase war nicht ganz ihr Ding - aber sie ist ja auch ein Vorstehhund!

20.04.2012
Die nächsten HD-Ergebnisse des P-Wurfes sind da.
| Name | HD | |
| Penelope | A1 | neu |
| Penny-Lane | A1 | neu |
| Power Ranger | A2 | |
| Perfect Hunter | A1 | |
| Peppermint | A1 | |
| Playmate | A1 |
Wir sind logischer Weise sehr zufrieden.
Auf das Ergebnis von Purple Rain warten wir noch. Die Röntgenbilder sind bereits
eingeschickt.
Wir hoffen ganz stark, dass auch der Rest des Wurfes, wie versprochen
zum Röntgen geht.

16.04.2012
Nach langer Wartezeit, ist sie da - die Urkunde!
![]() |
Coachman's Miss Marple ist jetzt auch offiziell Deutscher Schönheits-Champion |
![]() |

14./15. 04.2012
Prüfungswochenende in Uichteritz
Es waren 5 Coachman's am Start. Ois Easy
absolvierte ihre erste Einzelsuche und die Youngster
Quest, O'Two, Pepper und Scotty die Jugendsuche.

Hier die Vier, die die Prüfung erfolgreich absolviert haben.
![]() |
Einzelsuche Ois Easy mit 162 Pkt.
|
|
|
Jugensuche Pepper mit 69 Pkt. |
![]() |
|
![]() |
Jugensuche Scotty mit 68 Pkt. |
|
|
Jugensuche Quest mit 68 Pkt.
|
![]() |
|
![]() |
und Missi die endlich auch wieder suchen durfte und natürlich auch fand! |
|

31.03.2012
Frühjahrssuchen des GSCD in Kösching.
Jugendanlageprüfung
Nach einer Woche üben haben wir unseren
Nachwuchs mal auf die Probe gestellt.
Sie haben die Probe bestanden. Bei ausgesprochen ungünstigen
Wetterverhältnissen,
welche auch erfahrenen Hunden zum Verhängnis wurden, haben Scotty und Pepper die
JAP(GSCD) bestanden.
Von 9 gestarteten Hunden bestanden nur 4 Hunde.
|
Gerhard führte Pepper, sie bestand im sehr gut mit 13 Punkten. |
![]() |

Helga führte Scotty, sie bestand im sehr gut mit 11 Punkten.
Frühjahrseinzelsuche
![]() |
Hemingway, der Vater unseres in Erwartung
stehen Wurfes mit LaOla, überzeugte voll und ganz. |
Von 12 gestarteten Hunden bestanden nur 4
Hunde die Prüfung.
Hemingway wurde Suchensieger mit 17 Punkten im vorzüglich.

30.03.2012
CAC - Kösching

Scotty startete das erste Mal in der
Jugendklasse. Sie erhielt ein
V1,
Anw.Dt.JCh.(VDH) und wurde Jugendsieger!
Wir sind stolz auf unseren Nachwuchs.

24.-30.03.2012
Übungswoche im Feld
Alle durften mit und hatten viel Spaß - auch
unsere Oldies!
Auch Ois Easy, Outlander, O'Two und Leroy Brown waren einige Tage mit von der
Partie.


23.03.2012
Zweiter Röntgentermin des P-Wurfes.
Penelope und Penny-Lane wurden HD geröntgt. - Nun heißt es wieder warten.

Die Besitzer von Passion Fruit, Purple Rain,
Pearl of Gordon und Pina Colada wollen selbst zum Röntgen gehen.
Wir hoffen, dass sie dies auch bald tun!

22.03.2012
![]() |
Heute hat uns die Nachricht erreicht, dass Lach- und Sachgeschichten mit der Maus - und mit Newton - Sonntag 25.03.2012 - 11:30 Uhr. |

22.03.2012
Mit Missi geht es super gut.
Auf dem Laufband sieht man es - es geht immer weiter bergauf.

Auch nach 7 km laufen neben dem Rad schwitzt nur einer - Gerhard - vom andauernden Bremsen.

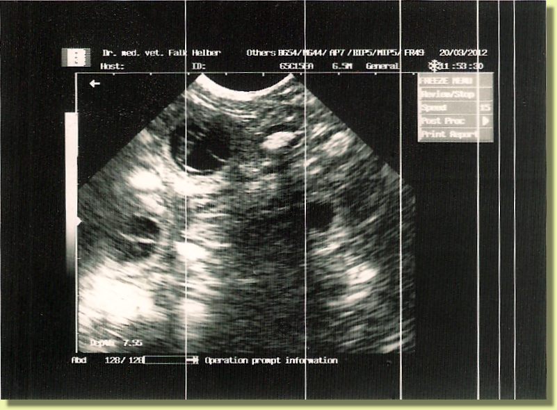
20.03.2012
Lola ist tragend.
Heute war Ultraschalltermin. Unten das erste Bild vom S-Wurf.


04.03.2012

Lola - die werdende Mutter mit ihrer Tochter Scotty vom letzten Jahr.

03.03.2012
Die ersten HD-Auswertungen unseres P-Wurfes sind da.
Wir haben wieder einmal allen Grund zum
Jubeln!
Wir hoffen natürlich, das dies so bleibt. Der nächste Termin ist der 23.03.2012.
| Name | HD |
| Power Ranger | A2 |
| Perfect Hunter | A1 |
| Peppermint | A1 |
| Playmate | A1 |

03.03.2012
CACIB - München
Diesmal leider nicht ganz so erfolgreich - aber das spornt nur noch mehr an!
Die Ergebnisse im Einzelnen:
|
Lenny Lee Pepper Easy |
- SG3 - SG2 - leider lahmt Lee und muss jetzt erst zum TA. - V2 Res.Anw. Dt.JCh.(VDH) - V2 Res.Anw. Dt.Ch.(VDH) |
Vielen Dank an Peter, der diesmal den Fotograf
spielte.
Wir hatten auf jeden Fall einen lustigen Ausstellungstag
![]() |
|
|
Peppers ganz persönliche Meinung zu den Ausstellungen! |
|

25.02.2012
|
Gerhard war mit Lola unterwegs ins Marburger Land.
|
![]() |

24.02.2012
Neues von Missi!
Ihr geht es eigentlich viel zu gut. Knappe 6
Wochen nach der OP ist sie der
Meinung schon alles wieder zu können.
Seit Gestern fangen wir an am Fahrrad zu traben. Missi's Meinung schneller -schneller -schneller!

Hier ist sie beim Aqua-Training. Auch dieses Ding geht viel zu langsam!

|
19.02.2012 Jetzt ist es amtlich! Missi ist Deutscher Champion VDH - (Dt.Ch.(VDH).
|

17.02.2012

Wir waren mit dem ersten Teil des P-Wurfes
beim HD-Röntgen.
Perfect Hunter, Power Ranger, Playmate und unsere Peppermint hatten viel Spaß.
Scotty hat das ganze beobachtet. Sie ist ja in 4 Monaten mit Ihren
Wurfgeschwistern an der Reihe.

Jetzt hoffen wir auf gute Ergebnisse.

22.01.2012
Mit Ruby Tuesday und Romantic Melody haben uns
heute die letzten beiden Welpen verlassen.
Rising Sun, Red Hot Chili und Rebel of Bavaria haben ihren neuen Wirkungsbereich
am Donnerstag bzw. am Samstag bezogen.

Romantic Melody bei uns im Garten und in ihrem neuen Reich.

15.01.2012
CACIB - Nürnberg
Das Ausstellungsjahr 2012 beginnt für die Coachman's sehr erfolgreich.
Alle ausgestellten Hunde erhielten ein vorzüglich.

Im Einzelnen:
| Coachman's O'Two | V1, Anw. Dt.Ch.(VDH), Res. CACIB/CAC |
| Coachman's Outlander | V4 |
| Coachman's Peppermint | V1, Anw. Dt.JCh.(VDH) |
| Coachman's Ois Easy | V1, Anw. Dt.Ch.(VDH) |
| Coachman's Nikita | V3 |
| Coachman's Miss Marple | V1, Anw. Dt.Ch.(VDH), CAC und CACIB |
Missi hat somit die Voraussetzungen für die Vergabe des
Deutschen Champion (VDH) und des
Deutschen Schönheitschampion erfüllt.
Vielen Dank an die Besitzer der Hunde, dass sie die Coachman's wieder so zahlreich vertreten haben.
Außerdem hat der Vater unseres R-Wurfes "Fieldtalk's
Guinness"
das BOB erhalten, worüber wir uns ebenfalls sehr gefreut haben.

14.01.2012
Fünf Buben haben ihren neuen Wirkungskreis bezogen.
Rebel of Bavaria, hier im Vordergrund, hat seine vier Mädels im Griff.

